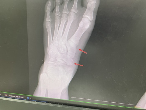
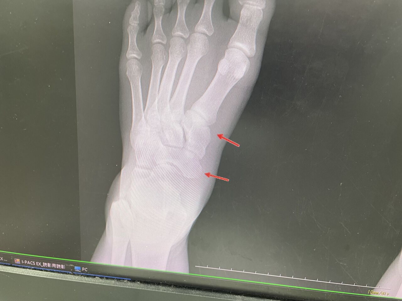
2025年03月10日 女子レスリング、アジア大会3位 某大学 女子レスリング、アジア大会3位選手 アスリートの患者さんです コリジョンスポーツなので、相手とのコンタクトが激し いですね この前、肘の靭帯を伸ばし、 治ったばかりなのに、足の怪我をしてしまいました 腫れは強く、はい強い骨折があると思いましたが、 骨挫傷と靭帯損傷で何とかなりそうです オリンピックに向けて、応援したいと思います! . カテゴリなしの他の記事 < 前の記事次の記事 >