本日も朝から、なやましい患者様がたくさん
来られました、坐骨神経痛で動けない方、
外傷で歩行困難で、松葉杖をついてきた方など
多数の患者様を見さしていただいてるなか、
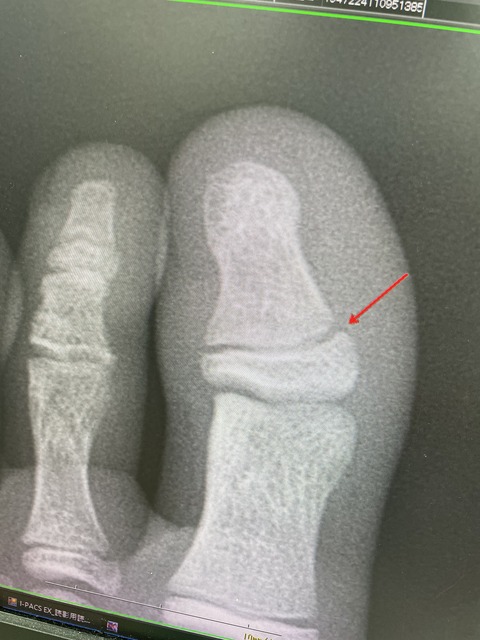
アスリートの方々も来院されました、
早稲田大学水球部女子の部
8月の全日本学生選手権(インカレ)
全日本準優勝!
練習中に足の怪我をしました、
早稲田大学の、スーパードクターと共有して
直していきたいと思います

スノーボードクロス小学校の部
現在全日本チャンピオン、
ランキング1位の将来できる、スノーボーダーです
お姉さんは、スノーボードクラスで世界選手権を狙っております

本日完治しました、
おめでとうございます
徐々に出力を上げていきましょう^_^
.
来られました、坐骨神経痛で動けない方、
外傷で歩行困難で、松葉杖をついてきた方など
多数の患者様を見さしていただいてるなか、
アスリートの方々も来院されました、
早稲田大学水球部女子の部
8月の全日本学生選手権(インカレ)
全日本準優勝!
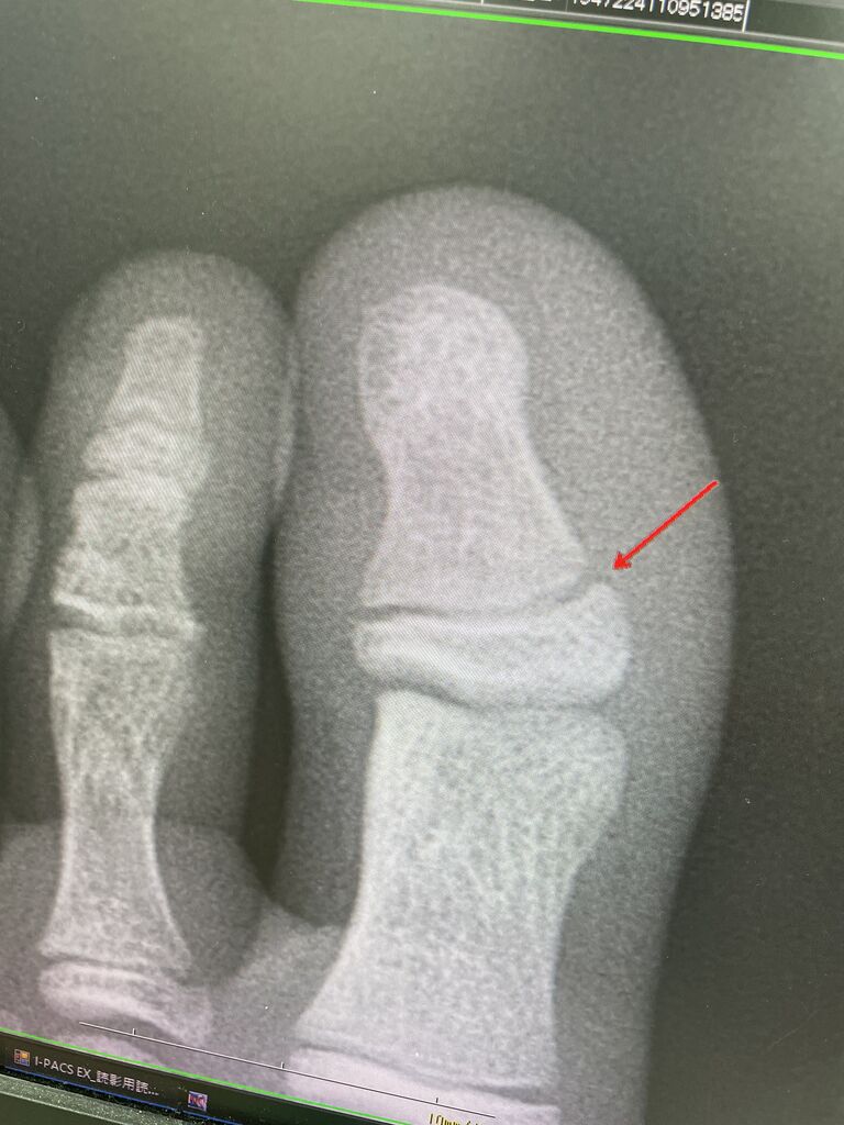
練習中に足の怪我をしました、
早稲田大学の、スーパードクターと共有して
直していきたいと思います

スノーボードクロス小学校の部
現在全日本チャンピオン、
ランキング1位の将来できる、スノーボーダーです
お姉さんは、スノーボードクラスで世界選手権を狙っております

本日完治しました、
おめでとうございます
徐々に出力を上げていきましょう^_^
.