コロナ禍でも、運動による健康維持は大事と思われます

ソーシャルディスタンスを保ちながら、手洗いうがい

呼吸困難にならないようにマスクをしながら

運動は推薦します

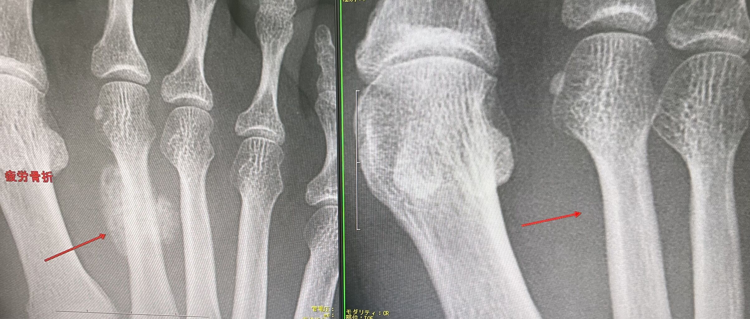
そんな中、マラソンコースの、変更等により

足の疲労骨折をかなり多く見られます



AC48D21C-1281-44E4-BC3B-C561E34DCB69




ストレッチ、マッサージ、靴や靴下の見直しを

しながら、ウォーキングやマラソンを

してきいましょう!




.