2019年11月

前十字靱帯は
アスリートで、よくおこる
膝外傷です。

切れると 1年を棒にふってしまいますが、
前向きに考えるど、自分を見つめなおす
時間でもあります、イメージトレーニング
フォームのチェック 使える筋肉を
特に鍛えることができます。

42AB9C00-9DBD-430D-84CF-F7796EE41C42


当院でも、年間40人ぐらい、
前十字靭帯断裂のアスリートがこられますが、
モチベーションを前むきにして、手術施設と
連携して、復帰していきます!






.

世界スーパーバイク選手権
世界最高峰のレース
大久保光選手がシリーズランキング5位を
取りました!

怪我をみてきた、チームドクターそして
スポーツドクター
としては最高に嬉しい話です

9C9FC4AC-8E32-4495-8632-B6E7E3BAE36F


4524A37B-D5A4-4119-88EF-F21AA1599899



5017EA27-DC94-44ED-8875-1F9EAE2E1114


FD862AE7-0FBE-4B31-86D0-31E66DE6A773









.

リーグ優勝コーチも シーズン終え

リラックス



EF2356B9-2759-4781-A2C5-F0923C37E07F


当院トレーナーと
E881C40F-643B-4F1D-94DB-0B2814BA7300




来シーズンは 日本1にむけてー






.

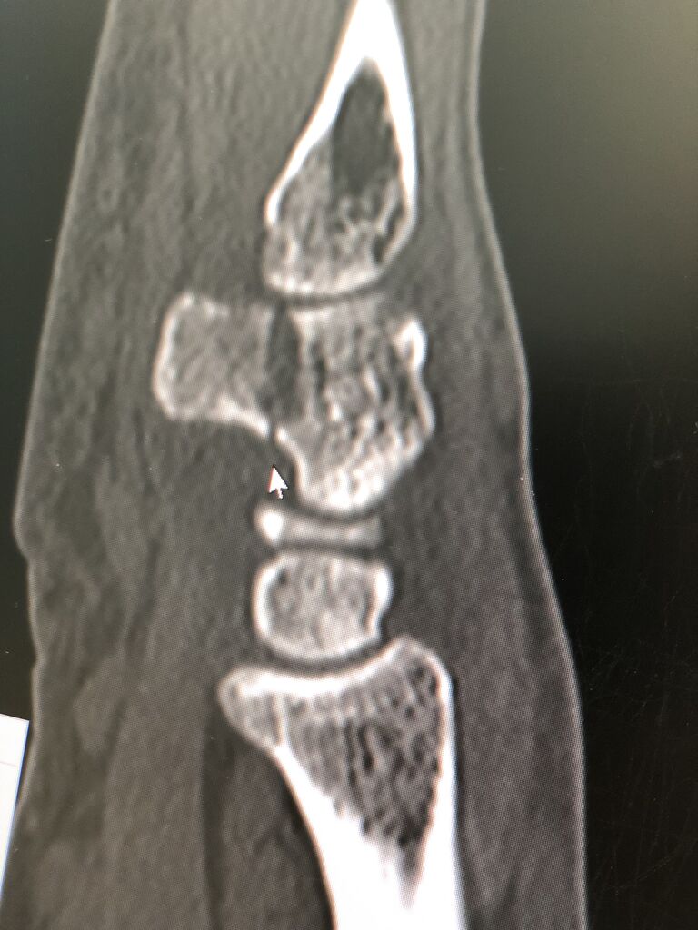
野球アスリートで多い骨折が

この 有鈎骨骨折です

レントゲンでも診断つきますが、

わかりにくいため、CTで精密検査します

ほっておくと、偽関節になり しびれ、

力が入らなくなるため、注意が必要です。


他で、診断つかず
偽関節になって来院されました
6AAF758A-4280-4B98-89C3-FB116E6DC88B



9190420E-589A-4820-9734-CE51A8BB09DA



何とかスポーツ活動できているので、
本人の希望で、
手術も視野にいれ、保存的に治療していきます。






.

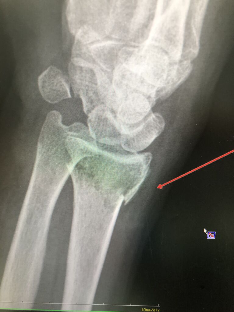
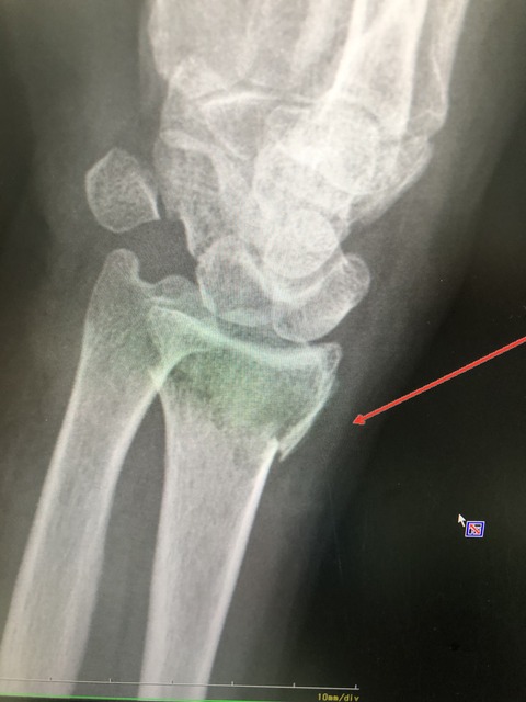
多数医療機関の診察後に、手術希望されず

当院に来院されました。 最近、そのような

患者さんが、保存的治療を求めて、よくこられます


整復後、ソフラットシーネ オールソグラス

の固定で きれいに整復され 骨癒合していきます

A38ED3A7-551B-4294-A94D-C8ADF46F558C



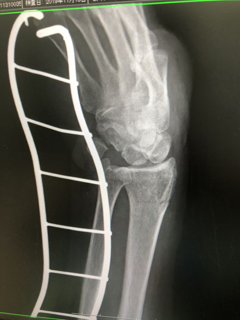
整復後 固定
9AAD72DB-769C-4503-AC38-A110E47164CF


これで、ずれずに

超音波骨治療器を併用で早期骨癒合します



↑このページのトップヘ